Biometrie Sammlung Literaturstellen

10.01.19 - IT/BS/CM 1. Trimenon neu dazu

04.11.18 - Neuer Eintrag

Inhaltsverzeichnis

Zweck

Diese Arbeitsanweisung stellt eine Datenbank für erweiterte fetale Biometriewerte dar.

Die gewählten Literaturstellen entsprechen keineswegs einer vollständigen Auswahl sondern sind ausgewählte Beispiele für erweiterte Biometrie, die die Tätigkeit im Spezialschall unterstützen soll.

Interpretation der Parameter immer unter Berücksichtigung der in der Literaturstellen beschriebenen sonographischen Vorgehensweise.

Sammlung

Kopf / Hals

Sonek et al., Nasal bone length throughout gestation: normal ranges based on 3537 fetal ultrasound measurements, Ultrasound Obstet Gynecol 2003; 21: 152–155

Beispiel Länge Nasenbein

Tabelle Länge Nasenbein


Gietka-Czernel M et al., Fetalthyroidin two-dimensional ultrasonography: nomograms according to gestational age and biparietal diameter, Eur J Obstet Gynecol Reprod Biol.2012 Jun;162(2):131-138

Beispiel Schilddrüsenmetrik

Tabelle Schilddrüsendiameter

Tabelle Schilddrüsendiameter bezogen auf BPD

Tabelle Schilddrüsenoberfläche bezogen auf BPD

ZNS

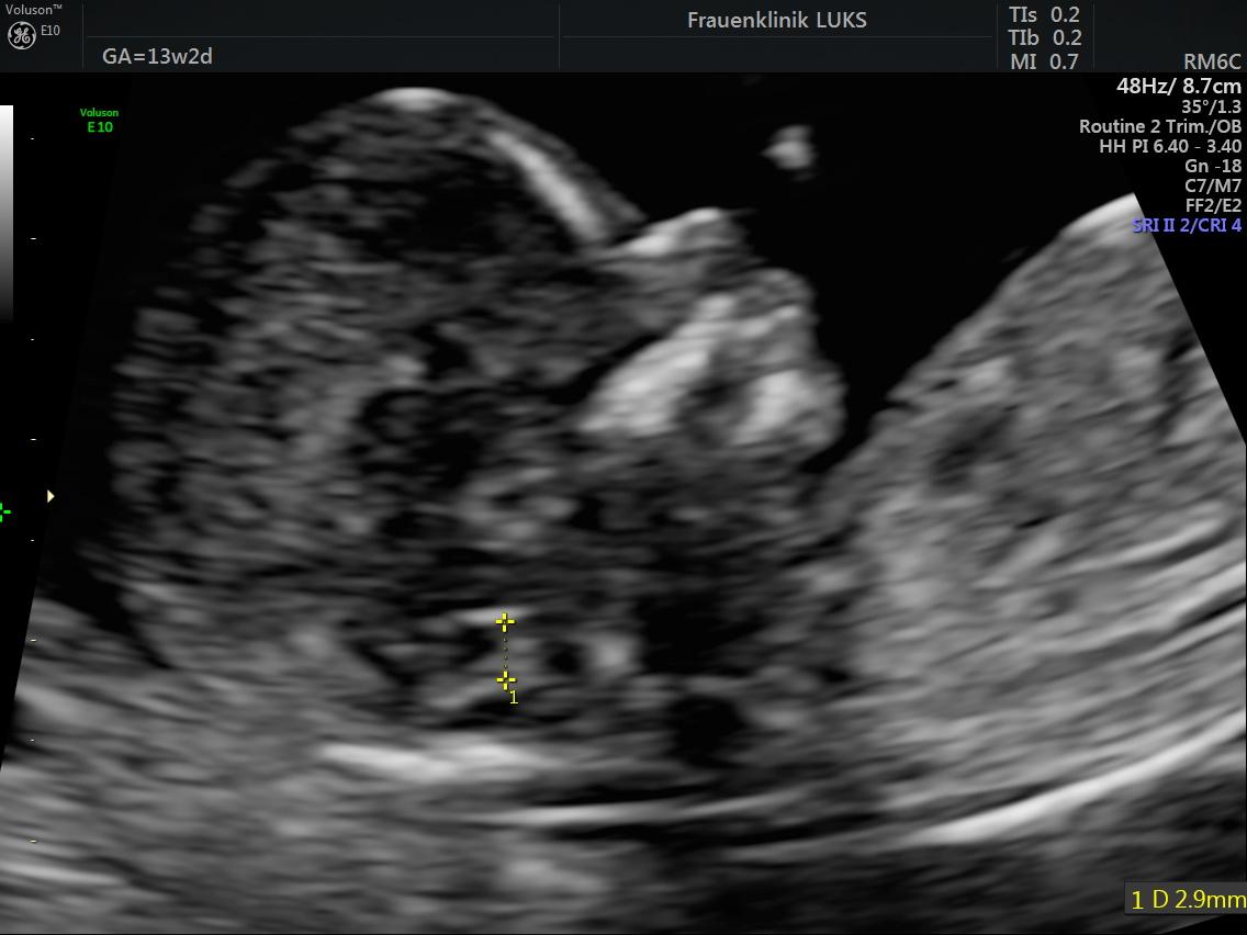
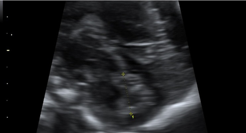
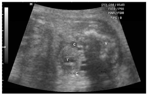
Chen FC et al. Detection of Spina Bifida by First Trimester Screening – Results of the Prospective Multicenter Berlin IT-Study, Ultraschall in Med 2017; 38: 151–157

IT Beispielbild

IT / CM / BS Anleitung Messung

IT / CM / BS Tabelle Normwerte


Sherer et al., Nomograms of the axial fetal cerebellar hemisphere circumference and area throughout gestation, Ultrasound Obstet Gynecol 2007; 29: 32 – 37

Beispiel Zerebellärer Hemisphärenumfang

Tabelle Zerebellärer Hemisphärenumfang

Tabelle Zerebelläre Hemisphärenfläche


Cignini et al., Reference Charts for Fetal Cerebellar Vermis Height: A Prospective Cross-Sectional Study of 10605 Fetuses, PLoS One, 2016 Jan 26

Beispiel Vermislänge

Tabelle Vermislänge


Cignini et al., Reference Charts for Fetal Corpus Callosum Length: A Prospective Cross‐sectional Study of 2950 Fetuses, J Ultrasound Med 2014; 33:1065–1078

Beispiel Corpus callosum Länge

Tabelle Länge Corpus callosum


Cohen-Sacher et al., Sonographic developmental milestones of the fetal cerebral cortex: a longitudinal study, Ultrasound Obstet Gynecol 2006; 27: 494–502

Darstellbarkeit ZNS-Strukturen je nach Gestationsalter

Thorax / Cor

Tomek et al., Atrioventricular Conduction Time in Fetuses Assessed by Doppler Echocardiography, Physiol. Res. 60: 611-616, 2011

Tabelle PQ-Intervall entsprechend SSW

Tabelle PQ-Intervall nach FHF

Abdomen

Kivilevitch et al., The Normal Fetal Pancreas, J Ultrasound Med 2017; 36:1997–2005

Beispiel Pankreasumfang

Tabelle Pankreasumfang


Srisupundit K et al., Reference range of fetal splenic circumference from 14 to 40 weeks of gestation, Arch Gynecol Obstet.2011 Mar;283(3):449 - 453

Beispiel Milzumfang

Tabelle Milzumfang

Autor: V. Uerlings
Autorisiert: J. Kohl
Version: 04.11.2018